在郑州长江中医院的生殖男科门诊,每天都有不少备孕多年无果的男性前来就诊,其中部分患者被确诊为克氏综合征 —— 这一男性最常见的性染色体异常疾病,因早期症状隐匿,常常被忽视,不少人确诊时已面临不育的困境。作为国内男性不育诊疗领域的资深专家,郑州长江中医院李翠英博士深耕生殖医学多年,依托 “MDT 多学科联合诊疗体系”,为众多克氏综合征患者制定个性化诊疗方案,她结合临床经验科普克氏综合征相关知识,让更多人认识这一 “隐形疾病”,做到早筛查、早发现、早干预,守住生育希望。
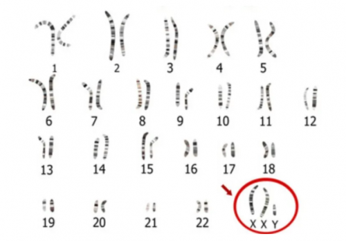
克氏综合征究竟是什么?李翠英博士用通俗的语言解释,这是一种先天性染色体异常疾病,也被称为 XXY 综合征。正常男性的染色体核型为 46XY,而克氏综合征患者因多了一条 X 染色体,核型多为 47XXY,这一问题并非后天患病所致,而是出生时就存在的,多为随机发生,且与父母高龄生育有一定关联。该病的发病率并不低,每 600 个男孩中就有 1 个患病,是导致男性非梗阻性无精症的重要原因之一,却因早期无明显症状,成为隐藏在男性生殖健康中的 “隐形杀手”。

很多家长发现,孩子小时候身体发育看似一切正常,为何长大后会出现生育问题?李翠英博士指出,克氏综合征的症状多在青春期后逐渐显现,这也是其容易被忽视的关键。进入青春期后,患者的生殖系统和第二性征发育会出现明显异常:睾丸体积明显偏小,远低于正常男性水平;体毛稀疏、不长胡子,喉结不突出、声音偏细,呈现出第二性征发育不全的表现;部分患者还会出现乳房女性化发育,身材偏高且四肢修长、肌肉力量薄弱。同时,生殖功能也会受到严重影响,90% 以上的患者会出现无精或重度少精,直接导致不育,还可能伴随性欲低下、勃起功能差等问题。除此之外,患者还比普通人更容易患上骨质疏松、糖尿病,部分人会出现情绪低落、学习与社交轻度困难等情况,这些都是身体发出的异常信号。
“不少患者都是备孕失败后才,发现患病,错失了最佳干预时机,其实早筛查、早发现,完全能有效改善症状,规避生育遗憾。” 李翠英博士强调,克氏综合征的诊断并不复杂,通过几项常规检查就能明确病情,且检查方式简单便捷。染色体核型分析是确诊的金标准,只需抽血检测即可;性激素六项检查会显示 FSH、LH 显著升高,睾酮水平偏低,这是性腺功能减退的典型表现;睾丸超声能直观看到睾丸体积偏小的情况;而精液常规检查,多数患者会显示为无精症。李翠英博士提醒,若发现青春期男孩出现上述第二性征发育异常,或男性备孕一年以上无果,应及时做相关检查,家族中有类似病史的人群更要提高警惕,尽早筛查。
拿到克氏综合征的诊断报告,很多患者会陷入焦虑,认为染色体异常无法治疗,甚至彻底失去生育希望。对此,李翠英博士明确表示,虽然染色体的异常无法改变,但通过科学干预,患者的症状能得到有效改善,不仅可以和普通人一样正常工作、生活,部分患者还能实现生育愿望。针对克氏综合征的干预,核心分为两大方面:一是睾酮替代治疗,从青春期开始及时补充雄激素,能促进第二性征的正常发育,改善肌肉力量、提升体力,同时缓解性欲低下等问题,帮助患者恢复正常男性特征,增强自信心;二是生育辅助,对于有生育需求的患者,可通过睾丸显微取精手术,在高倍显微镜下寻找睾丸内残存的生精灶并获取精子,再结合第二代试管婴儿技术,让精子与卵子顺利结合,不少患者通过这一方式成功拥有了自己的孩子。李翠英博士介绍,显微取精术对睾丸损伤小、取精成功率相对较高,是目前克氏综合征患者实现生育的重要方式,临床中已有众多成功案例。
作为郑州长江中医院 “李翠英博士男性不育症工作站” 的学科带头人,李翠英博士始终坚持 “拒绝草率判决,以科学再评估寻找生机” 的诊疗理念。她指出,克氏综合征的诊疗并非单一科室能完成,医院依托 MDT 多学科联合诊疗体系,整合生殖男科、显微外科、中医男科等多学科资源,为患者制定个性化的综合诊疗方案:从前期的精准诊断,到青春期的激素替代治疗,再到生育阶段的显微取精 + 试管婴儿辅助,全程提供专业医疗支持。同时,医院还联合公益基金推出专项援助,为患者提供关键检查费用补贴,让更多患者查得起病、看得好病。
李翠英博士提醒,男性生殖健康需要被更多人重视,克氏综合征的早发现早干预尤为重要。家长要关注青春期男孩的身体发育情况,发现第二性征发育异常及时就医检查;成年男性备孕前应做好生殖系统筛查,切勿因身体无明显不适就忽视检查。对于确诊的克氏综合征患者,无需过度焦虑,只要及时到正规医院接受科学干预,不仅能拥有正常的生活质量,还能,程度守住生育希望。在男性不育的诊疗中,没有,的 “无解”,科学诊断、精准干预,才能为生育之路扫清障碍。












