“我都住院好几天了,怎么还不给我做手术,是不是这里面有猫腻”龙某连声询问医生。
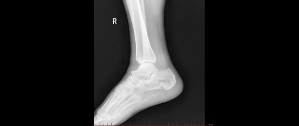
原来,40岁的龙某是来自湖北的一位农名工,近日在北京朝阳区某工地干活,不慎从三楼高空坠落。工友第一时间将龙某送往北京年轮中医骨科医院进行救治,并留下来全程陪护。通过检查,医生经初步诊断龙某右脚粉碎性骨折,需要住院手术治疗。

住院后,医生每天给他做保守治疗,就是不给他做手术。一直到第五天,实在坐不住了,龙某就和工友合计是不是医院需要收红包才给做手术,这样的胡思乱想让龙某更加焦虑,就让工友用轮椅推着他,到医生办公室拦住医生,连声询问,这不就出现了开头的一幕。


面对龙某的担心、紧张,和强烈要求医生立即手术,医疗团队经过讨论后,并确定了先期为龙某行跟骨牵引制动、脱水消肿止痛,待踝关节肿胀减轻后再行骨折复位内固定手术治疗的整体方案。
创伤科熊主任还为患者进行解释,之所以不能在龙某受伤后第一时间立即手术,是因为龙某足踝处水肿严重,高度水肿的软组织非常不利于愈合,而手术会更进一步加重肿胀,致术后易发生皮肤坏死、感染等风险,处理不当会导致骨髓炎等使治疗失败,所以骨折患者一般需要消肿后再手术。

龙某经过北京年轮中医骨科医院的精心救治,手术(右踝复位内固定手术)顺利进行。术后恢复良好,半个月后,龙某已经能扶拐下地逐步负重行走。
北京年轮中医骨科医院创伤科熊主任提醒大家施工时一定要严格按照操作规程,佩戴安全头盔、防护手套等装备,谨慎施工。同时,高空作业一定要做好防护措施,做好固定保护工作,并加以小心,避免意外事故的发生。如遇险情,第一时间报警求助。












